ŞİMDİ RANDEVU OLUŞTUR
+90 (532) 349 99 54
ENGLISH
FRANÇAIS
Toggle navigation
Anasayfa
Kurumsal
Hakkımızda
Kalite Politikamız
Misyonumuz & Vizyonumuz
Hastanemiz
Basın & Kongrelerde Biz
Galeri
KVKK Politikamız
Gizlilik Politikamız
Çerez Politikamız
Tedavilerimiz
Hollywood SMILE
Gülüş Tasarımı (Hollywood Smile)
Estetik Diş Hekimliği
Diş Beyazlatma (Bleaching)
Diş Protez Uygulamaları
Estetik Restorasyonlar
Emax
Laminate Veneer
Zirkonyum Kaplama
AYNI GÜN İmplant Ve Protez
İmplant Tedavisi
All on Four Tedavisi
Aynı Gün İmplant
Şeffaf Plak (Invisalign) Tedavisi
Genel Diş Hekimliği
Çene (Ortognatik) Cerrahisi
Diş Taşı Temizliği
Gömülü Yirmi Yaş Diş Çekimi
Dental Mikroskop ile Kanal Tedavisi
Ortodonti Tedavileri
Diş Teli Tedavisi
Periodontoloji
Diş Eti Tedavileri (Gummy Smile)
Pedodonti
Pedodonti
Lazer Diş Hekimliği
Hekimlerimiz
Prof. Dr. Hakan AKIN
Protez Uzmanı
Yrd. Doç. Dr. Elif GÜL AYDIN
Pedodontist (Çocuk Diş Hekimi)
Yrd. Doç. Dr. Gürkan KAYA
Ağız, Diş ve Çene Cerrahı
Doç. Dr. İpek ARSLAN
Pedodontist (Çocuk Diş Hekimi)
Dt. Muhammed Nuri TAŞÇIOĞLU
Restoratif Diş Hekimi
Uzm. Dt. Yakup KAPTI
Prosthodontist ( Protez Uzmanı)
Before/After
Blog
Bize Ulaşın
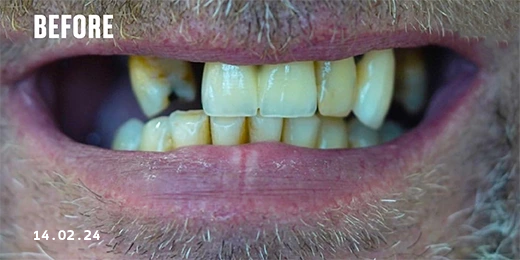
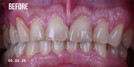
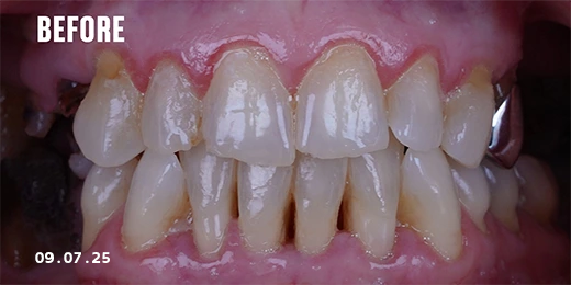
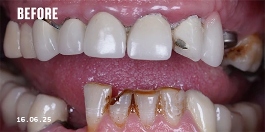
Before / After
Anasayfa
Before / After
Her cerrahi veya girişimsel işlemde sonuçlar kişiden kişiye değişiklik gösterebilir. İşlem öncesinde hekiminizden detaylı görüş almanız önerilir.
Randevu Al